AÇIKLAMA

TAM OTOMATİK MOD

YERDEN TASARRUF
TRC-NW400, cihazın neredeyse her açıdan çalışmasını sağlayan, dönen bir dokunmatik panel monitör içerir. Bu özellik oparatörün, hastanın her iki tarafında ya da arkasında olmasını sağlar, böylece yerden tasarruf sağlar. TRC-NW400, bir duvara veya bir köşeye yerleştirildiğinde rahatça kullanılabilir.

STEREO FOTOĞRAF
Stereo fotoğraf modunda, bir stereo çifti hizalanması otomatik olarak gerçekleştirilir. Ekrandaki talimatları takiben, stereo görüntüleme için bir stereo çifti hızlı ve kolay bir şekilde elde edilebilir.
* Stereo görüntüleyici yazılımı dahil değildir.

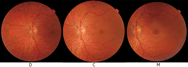
İÇ FİKSASYON İŞLEMİ
Geleneksel 3 fiksasyon hedefleri (Disk, Merkez ve Macula) ve periferik fotoğraf için sabitleme hedefi dahil edilmiştir.
* Panorama yazılımı dahil değildir.


KÜÇÜK PUPİLA FOTOĞRAFI VE ZOOM İŞLEVİ
TRC-NW400, küçük pupila açıklığı, dijital yakınlaştırma fonksiyonu ve bindirilmiş maske gibi yardımcı fonksiyonlar ile 3.3 mm’lik küçük pupilalarda retinal görüntüler elde etmeyi sağlar.
“Küçük pupil modu” seçildiğinde, kamera otomatik olarak küçük pupilalar için ayarlanır.
